Diagnóza „podotrochlóza“ je pro majitele koní strašákem. Jde o postupně se zhoršující onemocnění v oblasti kopyta, které obvykle postihuje jednu nebo častěji obě přední končetiny.
Anatomie
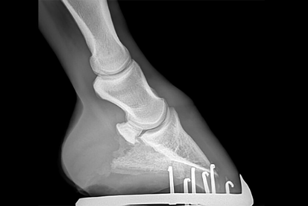
Podotrochlóza, nebo také navikulární či podotrochleární syndrom, není onemocnění jediné kosti, i když se jí tak často zjednodušeně říká. Jde o degenerativní proces postihující celý funkční aparát v zadní části kopyta, který se skládá z:
- Střelkové kosti: malá kůstka schovaná vzadu v kopytě, která tvoří součást kopytního kloubu (spolu s kostí kopytní a korunkovou).
- Šlachy hlubokého ohýbače prstu: mohutná šlacha, která se táhne po zadní straně nohy, klouže přes střelkovou kost a upíná se na spodek kosti kopytní.
- Podotrochleárního tíhového váčku: „polštářek“ s tekutinou, který leží mezi šlachou a kostí a snižuje tření při vzájemném pohybu.
- Závěsného aparátu střelkové kosti: součástí jsou sezamské vazy, které fixují střelkovou kost na svém místě.

K čemu dochází?
Při pohybu koně, zejména ve fázi odrazu, vzniká v této oblasti obrovský tlak. Šlacha hlubokého ohybače se napíná přes střelkovou kost. Pokud dojde k přetížení, začne se poškozovat chrupavka na povrchu kosti, vznikají záněty v podotrochleárním tíhovém váčku nebo dochází k natržení drobných vláken ve vazech. Výsledkem je bolest v patkové části kopyta.
Kdy se onemocnění objevuje?
Statistiky ukazují, že průměrný věk nástupu klinických příznaků je 7 až 9 let. Tedy věk, kdy je kůň fyzicky dospělý, na vrcholu sil a často v plné sportovní či pracovní zátěži. Onemocnění postihuje téměř výhradně přední končetiny (častěji obě najednou), které nesou 60–65 % váhy koně a fungují jako tlumiče nárazů. U zadních nohou nebo u poníků se s onemocněním setkáváme jen velmi vzácně.
Jaké jsou rizikové faktory?
- Dlouhá špice a nízké, podsunuté patky
- Úzká nebo špalková kopyta
- Kopyta neúměrně malá k váze
- Asymetrický tvar kopyt a jejich stranová nerovnováha
- Tvrdý povrch
- Nedostatek pohybu snižující prokrvení kopyta
Co pozoruje majitel?
Nemoc obvykle přichází plíživě a příznaky lze ze začátku snadno přehlédnout, či je přičítat jiným důvodům. Typické klinické příznaky zahrnují:
- Ztrátu výkonnosti
- Zkracování kroku
- Ztuhlost a neochotu jít dopředu
- Došlap na špičku: kůň se snaží vyhnout bolesti v patkách, proto pokládá na zem nejprve špičku kopyta. To vede k typickému „cupitavému“ chodu a častému zakopávání. Později může kvůli tomu dojít až ke změně tvaru kopyta.
- Kulhání na kruhu: problém je často více viditelný při lonžování na tvrdém povrchu a když je postižená noha uvnitř kruhu.
- Vystavování končetiny: kůň ve stáji vysunuje jednu přední nohu dopředu a mírně nadzvedává patku. Tím snižuje napětí šlachy hlubokého ohýbače. Pokud bolí obě nohy, kůň může přešlapovat a střídavě vysunovat levou a pravou.
Diagnostika
Rentgenový nález (cysty v kosti, rozšířené cévní kanálky, nárůstky na úponech vazů) nemusí vždy korespondovat s mírou bolesti. Existují koně s „ošklivými“ snímky, kteří nekulhají, a naopak koně s „čistým“ rentgenem, kteří trpí bolestí měkkých tkání (vazů a burzy), které rentgen neukáže.
Veterinární diagnostika obvykle zahrnuje:
- Svodné znecitlivění: veterinář pomocí svodné anestezie lokalizuje bolestivou oblast.
- Rentgen: pro posouzení kostních změn.
- MRI (Magnetická rezonance): metoda, která dokáže detailně zobrazit poškození měkkých tkání – vazů, šlachy a chrupavky.
- Scintigrafie: může pomoci v případech, kdy v kosti probíhá aktivní přestavba.

Léčba
Podotrochlóza je nevyléčitelná v tom smyslu, že degenerativní změny na kosti nelze vrátit zpět. Cílem léčby je zastavit zánět, ulevit od bolesti a zpomalit vývoj onemocnění.
- Ortopedické kování
Bez správné úpravy kopyta léky nebudou fungovat. Cílem je obnovit rovnováhu kopyta, to zahrnuje například zkrácení špice pro usnadnění překlopení kopyta, podporu patek pomocí zámkových podkov či zvednutí patek. Pro úspěch léčby je nezbytná úzká spolupráce veterináře a kováře. - Medikamentózní léčba
V akutní fázi se používají protizánětlivé léky pro úlevu od bolesti. Dále může veterinář předepsat léky, které např. ovlivňují metabolismus kostí (bisfosfonáty) nebo zlepšují prokrvení kopyt. Některá léčiva je možné aplikovat i přímo do postižené oblasti. - Pohybový režim
Kopyto potřebuje pohyb pro prokrvení. Ideální je každodenní kontrolovaný pohyb po vhodném povrchu dle doporučení veterináře. Zpočátku se doporučuje jezdit jen po rovných liniích a omezit práci na kruzích.
Pokud management a léky nezabírají, existují i chirurgická řešení, která jsou však považována až za tu poslední možnost.
Prognóza: Konec sportu?
Diagnóza podotrochlózy znamená změnu managementu, ale ne vždy konec ježdění. Prognóza je vždy „opatrná“, protože nemoc je progresivní, tedy neustále se vyvíjející. Nicméně mnoho koní s touto diagnózou dále sportuje na nižší úrovni nebo fungují jako skvělí rekreační parťáci.
Prevence v kostce
- Pravidelná úprava kopyt: Nenechávejte přerůstat špice. Interval mezi kováním by neměl přesáhnout 6 týdnů, u bosých kopyt je to 4-5 týdnů.
- Povrch: Vyhýbejte se tvrdým povrchům. Cválání po asfaltu nebo tvrdých polních cestách je pro kopyta nevhodné.
- Váha: Udržujte koně v optimální kondici. Každé kilo navíc zatěžuje nohy.
- Zahřátí: Před prací koně vždy důkladně vykrokujte (min. 15 minut), aby se tkáně prokrvily.
Text: MVDr. Natálie Hakrová
Foto: archiv společnosti Equiservis spol. s r. o.
